
– 割雙眼皮就像韓式隆鼻,一次解決眼皮鬆弛與厚重問題 –
許多來到巨星醫美診所指名找林醫師諮詢的求美者
最常糾結的問題就是:「我到底適合訂書針縫雙眼皮,還是標準式雙眼皮外開(割雙眼皮)?」
這並不是非黑即白的選擇題,答案其實很簡單:一切要根據您目前的「眼皮條件」來決定!
訂書針縫雙眼皮:適合眼皮薄、無下垂的年輕族群
這項手術確實非常受歡迎,主要優勢在於:
- 手術時間短
- 外觀幾無疤痕
- 術後恢復期短
- 消腫速度快
但必須誠實告訴您,畢竟它是縫合式的改良版,針對複雜的眼型結構,它無法改善以下狀況:
- 眼神無力(提眼瞼肌問題)
- 明顯的眼皮下垂
- 眼皮脂肪過厚
- 典型的泡泡眼
- 熟齡肌膚的眼皮鬆弛
若在眼皮條件不適合的情況下勉強選擇用縫的,隨著3-5年後老化,眼皮會逐漸下垂覆蓋,原本的雙眼皮摺痕很容易就變回內雙。
割雙眼皮(雙眼皮外開):解決泡泡眼與眼皮鬆弛的最佳對策
如果您的眼皮薄、脂肪少、且沒有下垂鬆弛,為了追求恢復快,訂書針式縫雙眼皮絕對是絕佳選擇。
反之,若您考量的是「雙眼皮線條的持久度」與「眼神的整體改善」,標準式割雙眼皮外開手術通常能維持極長的時間(視個人老化速度約 5-10 年以上),且能同時調整睫毛角度,讓眼睛更有神。
簡單判斷標準:
- 眼皮狀況良好(薄、無脂肪、無下垂): 兩種手術方式都可以做出理想的雙眼皮。
- 眼皮狀況複雜(厚、泡泡眼、下垂、鬆弛): 割雙眼皮手術是更專業的選擇。
為什麼?因為只有標準式割雙眼皮手術(雙眼皮外開),才能在手術過程中「完整處理」眼皮結構障礙。醫師能藉此切除鬆弛的多餘眼皮、修整過厚的眼輪匝肌以及移除多餘的眼窩脂肪。只有徹底清除這些「障礙物」,才能打造出深邃、清晰且持久的雙眼皮線條。
林醫師的諮詢結論:
- 追求無痕、快消腫,且眼皮條件好 ⮕ 選擇 訂書針式縫雙眼皮
- 追求線條穩定持久、需改善泡泡眼或老化垂尾 ⮕ 選擇 標準式割雙眼皮(雙眼皮外開手術)
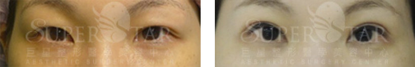
割雙眼皮(雙眼皮外開) 案例分享
案例一(療程效果因人而異,圖片為該案例實際術後成效)

案例二(療程效果因人而異,圖片為該案例實際術後成效)

案例三(療程效果因人而異,圖片為該案例實際術後成效)

案例四(療程效果因人而異,圖片為該案例實際術後成效)

案例五(療程效果因人而異,圖片為該案例實際術後成效)
割雙眼皮 預約諮詢專線: 0920682508
加入巨星醫美 LINE@ 線上諮詢 :








