
2+1訂書針縫雙眼皮|林敬鈞醫師獨創黃金比例,打造自然日式美眼
林敬鈞醫師認為,「2+1訂書針縫雙眼皮」手術是目前醫美界操作精準、術後滿意度極高的縫雙眼皮方式之一。這項技術改良自日式美學,透過引進的特殊針線,能精確地將眼瞼板與上眼瞼皮緊密縫合。
除了深入縫合與強力固定外,這項手術的過程相對溫和,通常只需約 30 分鐘即可完成。不同於傳統手術,日式訂書針縫雙眼皮採用三點式打結,若日後某處縫線結鬆脫,僅需針對該處重縫,無需整排拆掉重來,大幅降低重修門檻。
想了解更多林敬鈞醫師的雙眼皮手術,請至: 林敬鈞隆鼻雙眼皮眼袋整形
為什麼選擇訂書針縫雙眼皮?三大核心優勢
這項手術之所以受歡迎,主要歸功於以下特點:
- 深入縫合:結構穩固。
- 固定力強:形成的摺痕更深邃。
- 不易鬆脫:維持時間較傳統縫法更久。
此外,訂書針縫雙眼皮在臨床運用上相當靈活,適合進行局部微調或修整。對於雙眼皮重修手術來說,它的應用範圍廣泛,這也是其迷人之處——簡單、方便、好照顧。
巨星整形林敬鈞醫師觀點:突破傳統的 2+1 縫法
巨星醫美診所率先推廣「2+1訂書針縫雙眼皮」,不拘泥於傳統僵化的三點式縫法,致力於提供舒適度高、恢復期相對較短的手術體驗。

打造「桃花眼」:眼神柔和動人的秘密
林敬鈞醫師運用此技術為許多部落客進行眼部雕塑。術後雙眼皮線條流暢,能讓眼神變得更加嫵媚、柔和,因此林醫師也將此效果稱為「桃花眼手術」。
部落客真實體驗分享:
揭密:什麼是「黃金比例 2+1」?
許多人好奇,既然源自三點式縫法,為什麼要強調「2+1」?
結論先說:訂書針縫雙眼皮比傳統八字縫法穩固,且保留了更好的重修彈性。
2+1 與傳統三點式的關鍵差異
- 縫合位置的精算:這不是隨機的三個點,而是經過精密計算的佈局。
- 打造外雙的可能:最大的優勢在於,依個人眼型條件,有機會在不開眼頭的情況下,縫出自然的開放式雙眼皮(外雙)。
如同繪圖軟體畫曲線需要三個點來定位,這三個點的「落點」至關重要。傳統三點式縫法(內、中、外三針)遇到蒙古摺較強或眼睛較小的東方人,往往只能縫出內雙(封閉式),效果不明顯。
「黃金比例 2+1」的邏輯:
林醫師依照您的眼型條件,調整縫合位置,使其符合 1:1.618 的黃金比例。對於蒙古摺不強壯的人,這能直接縫出漂亮的開放式雙眼皮;若蒙古摺較強,則建議搭配開眼頭手術輔助。

林敬鈞醫師觀點:
縫雙眼皮不是針數越多越好。「縫得多不如縫得好,縫得好不如縫得巧」。2+1 訂書針縫雙眼皮正是體現了「巧」的黃金比例工藝。
訂書針微創泡泡眼:針對「厚眼皮」的特 A 級方案
如果您的眼皮脂肪較厚,單純縫雙眼皮可能會像「加菲貓」一樣泡泡的,甚至因為脂肪壓力導致縫線容易鬆脫。
解決方案:訂書針微創泡泡眼 = 訂書針縫雙眼皮 + 微小切口抽脂
這項手術是為了以下族群量身打造:
- 單純泡泡眼(眼皮薄但脂肪多)
- 眼尾脂肪過多
- 眼尾眼皮過厚
手術優勢:
- 微創無痕:傷口極小。
- 恢復期短:消腫快、瘀青少。
- 效果自然:同時移除眼窩脂肪,讓摺痕更流暢。
- 持久度提升:減少脂肪對縫線的壓力,雙眼皮更牢固。

懶人包:三種雙眼皮手術方式比較
還在猶豫該選哪一種?我們整理了詳細的比較表供您參考:
| 割雙眼皮 | 傳統縫雙眼皮 | 訂書針縫雙眼皮 | |
| 持久度 | 長久 | 約 1-2 年 | 約 3-5 年以上 |
| 消腫期 | 慢 (2-4週) | 快 (1-2週) | 快 (1-2週) |
| 恢復期 | 長 (3-6個月) | 短 (1-3個月) | 短 (1-3個月) |
| 脂肪抽取 | 可 | 否 | 否 (需搭配微創泡泡眼) |
| 適用對象 | 眼皮厚、脂肪多、眼皮鬆弛下垂、年長者 | 皮膚薄、脂肪少、年輕族群 | 皮膚薄、脂肪少、年輕族群 |
| 手術時間 | 1-1.5 小時 | 1 小時 | 約 30 分鐘 |
隱形開眼頭手術:放大雙眼的關鍵拼圖
很多時候,雙眼皮不夠美不是因為摺痕,而是因為「蒙古摺」擋住了眼頭。
新式「隱形開眼頭手術」將切口巧妙隱藏於內側眼角,移除多餘的內眥贅皮,並放鬆緊繃的肌肉組織。這能讓淚阜適度顯露,不僅拓寬眼形,還能改善眼距過寬、眼神不對焦的問題。

隱形開眼頭的效果:
- 眼神柔化:改善銳利冰冷的眼神。
- 摺痕外顯:讓雙眼皮內側不會「被吃掉」,更適合畫眼影。
- 視覺放大:自然放大眼型。
- 五官立體:縮短眼距,掩飾鼻樑根部平塌,搭配隆鼻效果更佳。
建議同時合併開眼頭的族群:
- 眼睛寬度太窄。
- 眼距過寬(大於一隻眼睛的寬度)。
- 想要有明顯放大效果。
- 鼻樑山根較塌,但暫時不想隆鼻者。
林敬鈞醫師手術模擬與諮詢現場
術前的溝通與模擬是手術成功的基石。林醫師會親自進行模擬,確認您喜歡的雙眼皮寬度與形狀。


延伸閱讀: 想了解更多林敬鈞醫師的雙眼皮手術,請至 林敬鈞醫師隆鼻雙眼皮拉皮整形
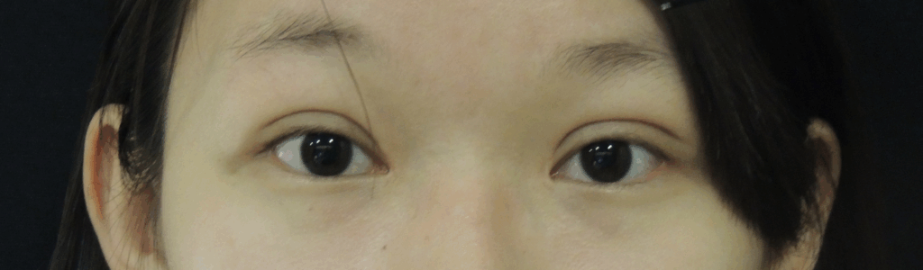
訂書針縫雙眼皮 成功案例分享
(註:療程效果因人而異,以下圖片皆為該案例實際術後成效)
Case 1:百貨專櫃小芸的蛻變
小芸過去長期依賴雙眼皮貼與濃妝掩飾內雙,甚至被客人調侃。進行訂書針縫雙眼皮後,眼睛立刻放大,雙眼皮線條明顯動人,終於可以丟掉雙眼皮貼了。
Case 2:房產銷售小怡的業績救星
小怡曾因眼皮過敏無法化妝而影響自信與業績。術後眼神變得嫵媚有神,不僅自信回歸,工作表現也更加亮眼。
Case 3:上班族小美的開放式奇蹟
單眼皮的小美原本只想改善眼型,沒想到在沒有開眼頭的情況下,透過黃金比例縫法,幸運地擁有了開放式雙眼皮。
更多精彩案例集錦
Case 4 訂書針縫雙眼皮 手術


Case 5 訂書針縫雙眼皮 手術


Case 6 訂書針縫雙眼皮 手術


Case 7 訂書針縫雙眼皮 手術


Case 8 訂書針縫雙眼皮 手術


Case 9 訂書針縫雙眼皮 手術


Case 10 訂書針縫雙眼皮 手術


Case 11:訂書針縫雙眼皮 + 韓式隆鼻

Case 12


Case 13:部落客 Celia’s Deer Planet 小鹿星球


Case 14:訂書針微創泡泡眼 (縫雙眼皮 + 微小切口抽脂)


Case 15:訂書針微創泡泡眼 + 隱形提眼肌調整 + 韓式隆鼻

Case 16:訂書針微創泡泡眼 + 開眼頭

Case 17:訂書針微創泡泡眼

Case 18:訂書針微創泡泡眼

Case 19:訂書針微創泡泡眼 + 開眼頭 + 韓式隆鼻

Case 20:大學生了沒 顧小瑋 (訂書針縫雙眼皮 + 小切口抽泡泡眼)


Case 21:訂書針縫雙眼皮 + 微小切口抽泡泡眼 + 開眼頭 + 韓式隆鼻

Case 22:訂書針縫雙眼皮 + 開眼頭


Case 23:訂書針縫雙眼皮 + 開眼頭


療程效果因人而異,圖片為該案例實際術後成效
Case 24:訂書針縫雙眼皮 + 開眼頭


療程效果因人而異,圖片為該案例實際術後成效
Case 25:訂書針縫雙眼皮 + 開眼頭


療程效果因人而異,圖片為該案例實際術後成效
桃花眼預約諮詢
- 預約專線:0920682508
- LINE@ 線上諮詢:








