
– 混血萌雙眼皮:低疼痛感,手術時間短,消腫快速 –
混血萌雙眼皮 (改良式訂書針縫雙眼皮),是由日本引進的特殊針線,可以很確定地將眼瞼板與上眼瞼皮確實縫合在一起,特色是能夠深入縫合,牢固度高。縫合的時間非常短,過程溫和,只需30分鐘就可以輕鬆完成。
日式訂書針縫雙眼皮的縫線打結是三點式的,因此若是有某一處打的縫線結意外鬆脫,只需重縫該處即可,不需全部重縫,這也是混血萌雙眼皮受歡迎的原因之一。
訂書針式混血萌雙眼皮的三大優點:
- 深入縫合,線條自然
- 固定力強,支撐度佳
- 結構穩固,不易鬆脫
此外,混血萌雙眼皮手術在執行起來運用比較寬廣自由,可以做局部的微調或是局部修整,而不需全部重新來過。這在雙眼皮重修手術來說應用度更大,這也是訂書針縫法迷人的地方,簡單方便,好照顧。
巨星整形林敬鈞醫師認為,混血萌雙眼皮是目前好操作、舒適度高、手術時間短且效果佳的雙眼皮手術方式之一。
林敬鈞醫師以訂書針雙眼皮方式為不少部落客進行縫雙眼皮手術,女生有了混血萌雙眼皮後,眼神變得更加嫵媚柔和動人,因此林醫師又稱之為:
2+1 混血萌縫雙眼皮手術
素人部落客案例分享
- 【醫美】巨星整形外科診所:訂書機式雙眼皮,超真實紀錄心得分享 睡一較起來就有 … – Celia’s Deer Plan
- 縫雙眼皮+開眼頭|迎接開放式雙眼皮~手術前後+恢復歷程一年心得- 沙粒的天空
傳統 訂書針縫雙眼皮 vs. 混血萌雙眼皮
傳統術式強調由日本引進的特殊針線,可以很確定地將眼瞼板與上眼瞼皮確實縫合。縫合時間短,過程溫和。日式訂書針縫雙眼皮的縫線打結是三點式的,便於局部調整。

而混血萌雙眼皮除了繼承深入縫合、固定力強及不易鬆脫三大優點外,更強調客製化的美感。使用特殊器械將眼瞼板與上眼瞼皮確實夾合固定,過程舒適度高。重要的是,若某一處縫線鬆脫,只需局部修復,安全性高。
再者,為符合審美需求較高族群的胃口,混血萌雙眼皮在執行上運用更自由。如果是希望眼尾或眼頭雙眼皮寬度能寬一些,用此方式比較好調整,大幅減少線條不順的可能。若是覺得寬度過寬想改窄,也可以只做局部的修整。因此混血萌雙眼皮在重修手術的應用度極高,這也是林醫師堅持採用的原因。 結論: 混血萌雙眼皮 (訂書針式) 比傳統八字縫法一樣牢固,但更好重修調整林敬鈞醫師觀點: 縫得多不如縫得好,縫得好不如縫得巧,2+1混血萌雙眼皮符合黃金比例。
黃金比例 2+1 混血萌縫雙眼皮
2+1縫法源自於三點式縫法,那為何說是 2+1,而不是三點式呢?
- 最主要的差別在於三點式縫合的位置
- 最大的優點在於依個人條件而定,有機會在不開眼頭的情況下,縫出開放式雙眼皮 (外雙)
如同前面所講,以繪圖軟體畫曲線,要有三個點方能作出曲線,那這三個點的位置是在哪呢?這就很需要醫師的經驗來分析。
依照傳統的三點式縫法,舊式分為內、中、外三針,遇到眼頭張力較強的東方人,大多都只能縫出封閉式雙眼皮 (內雙);如果又遇到眼睛較小的情況,術後效果可能不明顯。
黃金比例 2+1 混血萌雙眼皮就是依照個人條件,改變線縫合的位置,調整縫線位置使其符合 1:1.618 的黃金比例,以縫出外放式雙眼皮 (外雙)。當然,若是蒙古摺張力極強的人,建議搭配開眼頭手術輔助;但如果是蒙古摺不強壯的人,單靠此術式就可以縫出漂亮的開放式雙眼皮唷!

所以說,混血萌雙眼皮不是縫越多針就越好,縫得多不如縫得好,縫得好不如縫得巧,2+1 的黃金比例正是「巧」的精隨。

混血萌微創泡泡眼 = 混血萌雙眼皮 + 微小切口抽泡泡眼,是可發揮 1+1>2 功效的特 A 級雙眼皮手術
- 微創,傷口小
- 消腫快,恢復期短2+1 混血萌縫雙眼皮 術前諮詢
- 瘀青少
- 突破傳統,可同時取眼窩脂肪,使雙眼皮更自然精緻
- 減少脂肪阻力,使雙眼皮更牢固,不易掉
混血萌微創泡泡眼適用於:
- 單純泡泡眼 (眼皮薄但脂肪多的泡泡眼)
- 眼尾脂肪過多
- 眼尾眼皮過厚
泡泡眼的案例在施行訂書針縫雙眼皮時,若過多的組織卡在折痕上,容易導致術後上方過腫,看起來像是有雙眼皮的加菲貓,效果大打折扣。此外,因為多餘的組織 (脂肪或眼輪匝肌) 壓在縫線上,會加速線節鬆脫,影響維持時間。透過混血萌微創泡泡眼手術,能有效改善此問題。


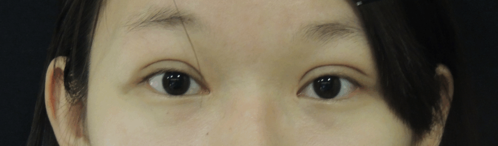
混血萌雙眼皮 – 成功案例分享
Case 1:2+1 混血萌縫雙眼皮手術


(療程效果因人而異,圖片為該案例實際術後成效)
Case 2:2+1 混血萌縫雙眼皮


(療程效果因人而異,圖片為該案例實際術後成效)
Case 3:2+1 混血萌縫雙眼皮


(療程效果因人而異,圖片為該案例實際術後成效)
Case 4:2+1 混血萌縫雙眼皮 + 抽泡泡眼


(療程效果因人而異,圖片為該案例實際術後成效)
Case 5:2+1 混血萌縫雙眼皮 + 抽泡泡眼 + 開眼頭


(療程效果因人而異,圖片為該案例實際術後成效)
Case 6:2+1 混血萌縫雙眼皮 + 開眼頭


(療程效果因人而異,圖片為該案例實際術後成效)

Case 7:2+1 混血萌縫雙眼皮 + 抽泡泡眼 + 開眼頭 + 韓式隆鼻

(療程效果因人而異,圖片為該案例實際術後成效)
Case 8:2+1 混血萌縫雙眼皮

(療程效果因人而異,圖片為該案例實際術後成效)
Case 9:2+1 混血萌縫雙眼皮手術

(療程效果因人而異,圖片為該案例實際術後成效)
Case 10:2+1 混血萌縫雙眼皮手術

(療程效果因人而異,圖片為該案例實際術後成效)Case 11:2+1 混血萌縫雙眼皮手術


療程效果因人而異,圖片為該案例實際術後成效)Case 12:2+1 混血萌縫雙眼皮手術


(療程效果因人而異,圖片為該案例實際術後成效)

Case 13:2+1 混血萌縫雙眼皮手術


(療程效果因人而異,圖片為該案例實際術後成效)Case 14:2+1 混血萌縫雙眼皮手術


(療程效果因人而異,圖片為該案例實際術後成效)
Case 15:2+1 混血萌縫雙眼皮手術



(療程效果因人而異,圖片為該案例實際術後成效)
Case 16:2+1 混血萌縫雙眼皮手術 – Celia’s Deer Planet 小鹿星球


(療程效果因人而異,圖片為該案例實際術後成效)
Case 17:混血萌微創泡泡眼 + 開眼頭 + 眼袋內開

(療程效果因人而異,圖片為該案例實際術後成效)
Case 18:混血萌微創泡泡眼手術

(療程效果因人而異,圖片為該案例實際術後成效)

Case 19:混血萌微創泡泡眼手術 + 隱形提眼肌 調整 + 開眼頭手術

(療程效果因人而異,圖片為該案例實際術後成效)
Case 20:混血萌微創泡泡眼手術

(療程效果因人而異,圖片為該案例實際術後成效)
Case 21:混血萌微創泡泡眼手術 + 開眼頭 + 韓式隆鼻

(療程效果因人而異,圖片為該案例實際術後成效)
Case 22:混血萌微創泡泡眼手術 + 小切口抽泡泡眼 – 大學生了沒 ~ 顧小瑋



(療程效果因人而異,圖片為該案例實際術後成效)
Case 23:2+1 混血萌縫雙眼皮 + 開眼頭


(療程效果因人而異,圖片為該案例實際術後成效)
Case 24:2+1 混血萌縫雙眼皮 + 開眼頭


(療程效果因人而異,圖片為該案例實際術後成效)
Case 25:2+1 混血萌縫雙眼皮 + 開眼頭


(療程效果因人而異,圖片為該案例實際術後成效)
混血萌雙眼皮 | 縫雙眼皮 | 雙眼皮推薦 | 雙眼皮手術 – 林敬鈞醫師

混血萌雙眼皮 諮詢專線: 0920682508








